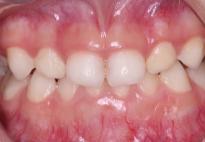
[地包天矫正前]
我女儿的牙齿是下排牙齿包裹上排牙齿的,刚开始我以为这是正常现象,年纪大了就不会这样,直到朋友给我科普后,我才知道原来这是地包天,属于口腔问题的一种,我这才意识到问题的严重性,在暑期抽空带孩子来医院检查,在经过医生详细检查后,制定方案为颌垫推簧,解除反颌。每2周复诊,推簧加力。
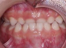
[地包天矫正后]
经过长达1年的治疗后,女儿的牙齿终于恢复到正常人的形态了,不得不说牙科医生还是非常专业的,在矫正前,会对孩子进行安抚,在矫正后还对女儿进行了口腔健康教育,让女儿养成了良好的生活习惯,以前女儿死活不肯刷牙,现在经过医生的教育后,每晚都会乖乖刷牙。
免责说明:本文由网友自由发布,如有侵权,请联系本网站进行删除
