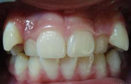
[牙齿矫正前]
这是我还没矫正之前的样子,可以明显看到我的上排牙齿很不齐,有的牙齿是突出的,看起来特别不美观,特别是笑起来的时候,特别辣眼睛,而且还不好刷牙,有些缝隙都刷不干净,因此导致牙齿积累了不少牙结石。面诊后,医生根据我的情况给我制定了合适的矫正方案,然后便戴上了牙套。
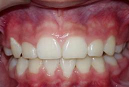
[牙齿矫正后]
刚开始戴牙套的时候感觉很不习惯,总有一种口腔里有异物的感觉,特别是吃东西的时候,那种感觉特别明显,经过了很长一段时间后才习惯了。不得不说牙齿矫正真的是个漫长的过程,我戴了一年多的牙套,并且期间多次去口腔医院检查,牙齿才变得整齐了,不过这都是值得的,牙齿整齐后确实感觉好看了许多。
免责说明:本文由网友自由发布,如有侵权,请联系本网站进行删除
