随着各种医疗美容技术的发展,透明质酸类制剂在医学美容方面的应用越来越普遍,因其具有操作简便、安全性高、可反复应用,以及注射填充后维持时间久等优点,故多用于治疗各种类型的面部皱纹及组织凹陷。

虽然透明质酸类注射填充剂的安全可靠性较高,但并发症也是并存的。而且注入的填充物有可能导致严重的如发生肉芽肿形成、皮肤坏死、血管栓塞、增生性瘢痕,甚至失明等。因此需要医师正确认知潜在存在的并发症及临床表现,并对其及时采取治疗措施。现综述如下。
1、疼痛与肿胀
注射时会发生轻微疼痛和肿胀,通常在1~3d慢慢消退。注射前常规冰敷并混合加用少量利多卡因可以减少注射时的疼痛。注射时应选用更细的(27G以上)针头,在合适的解剖层次缓慢注射。基于透明质酸类制剂的胶体特性,注射、按摩等机械创伤是造成术后局灶性轻微肿胀的主要因素,而注射后局部冰敷可明显减少肿胀的发生。急性血管神经性水肿发生率极低,在注射后即刻或者3周内可以发生,多发生在唇部,与免疫因素有关。若发生急性血管性水肿,可应用抗组胺药或者激素治疗。
2、皮下血肿与青紫
注射时如损伤到浅表的小血管会造成青紫,且可呈成片状出现在眼周、口周及下颌缘处。因此,注射时应选择合适的层次缓慢推注,避免在同一位置反复进出。注射前应详细了解患者的病史,对月经期间或者有凝血功能异常者应避免注射。若发生皮下血肿,局部冰敷可明显减轻症状。
3、皮下结节与不平整

(图片来源网络)
当注射层次过浅、量过多及塑形不当时,可发生皮下结节,边界欠清晰,表现为可以看见或者触及到的皮下质软结节。一般在注射后1~4周,多发生在额部、眼周、口周、颏部及鼻唇沟等部位。注射后短期形成的单纯皮下结节,可以通过按摩和塑形来处理,对于效果不佳者可以使用透明质酸类制剂酶溶解。
4、双侧不对称

(图片来源网络)
不对称多由于注射方法错误或者双侧注射层次不同所导致。多见于双侧颞部、眼周、鼻部、双侧鼻唇沟、面颊、下颌缘等处。要求注射者在注射前先进行详细地设计,注射时尽量做到双侧注射剂量一致,注射后根据具体情况予以适当调整。
5、填充物游离移位
填充物移动到原注射区域以外的现象称之为填充物移位。填充物游走经常发生在面部经常活动的部位,如鼻唇沟等处。若在组织较疏松部位注入过量的透明质酸类制剂,会受肌肉活动及重力作用而导致填充物移位。为了避免这种并发症的发生,建议不要注射太多的注射物,注射者应谨慎填充肌肉活动强烈部位或者皮肤薄弱部位。采用合适的层次和剂量缓慢地注射,同时注射后避免多次按摩等,有助于降低填充物的游离移位。
6、急性感染

(图片来源网络)
急性感染的发生率较低,多为医源性的,主要原因是无菌操作不当引起,可表现为短期内发作的局灶性蜂窝织炎,通常口服抗生素药物治疗。疱疹病毒感染较少见,可合并细菌感染,多发生在口周和中面部区域,临床表现为皮肤表面的小水疱伴疼痛。另一种原因是血管栓塞,因皮肤坏死而引起的继发性感染。
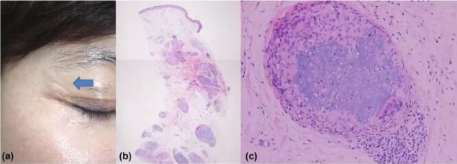
7、慢性炎症与肉芽肿

(图片来源网络)
肉芽肿是指慢性炎症过程中,单核-巨噬细胞局限性浸润和增生所形成的境界清楚的结节状疾病,多发生在注射后数月或者数年。透明质酸类制剂内的杂质、手套滑石粉及化妆品等异物,可导致局部组织内形成慢性炎症,进而转变为肉芽肿性结节病灶。若注射后短期内形成质韧结节,且不伴有慢性炎症发作史,应排除肉芽肿。通过穿刺做病理检查可以确诊慢性肉芽肿。若由透明质酸类制剂形成的结节可以用透明质酸类制剂酶溶解,如果酶溶解效果不佳并纤维化严重,可于病灶内注射激素类药物或者手术切除。
8、过敏反应
局部过敏反应多发生在注射后短期内,常表现为红斑、局部毛细血管扩张、瘙痒,术后可反复发作,但远期发作者少见。具体病因不明,可能与注射物本身及杂质等抗原进入组织而产生超敏反应有关。常规采用抗感染药物和抗组胺药物治疗,若长期反复发作,可采用透明质酸类制剂酶溶解。
9、疼痛与肿胀

(图片来源网络)
丁达尔现象是指因填充物注射层次过浅而导致的局部皮肤色泽发暗、发蓝的现象,多见于泪沟皮下浅层注射较多的剂量后,也可见于鼻唇沟皮下浅层注射者。由于透明质酸类制剂是透明色,如果注射层次过浅,局部皮肤会形成表面透光。因此,注射时应避免注射层次过浅,选择合适的层次是规避丁达尔现象的主要方法。若并发局部结节并持续无消退,可使用透明质酸酶治疗。
10、血管栓塞

(图片来源网络)
血管栓塞是透明质酸类制剂填充注射后长严重的并发症。动脉性栓塞发生较快,供应区域皮肤发白、剧痛、皮肤坏死,从而继发感染而导致皮肤缺损。静脉性栓塞发生缓慢,注射24h内皮肤颜色逐渐加深,钝痛明显。
眼动脉的分支为眶上动脉、滑车上动脉、视网膜中央动脉及鼻背动脉。内眦动脉是面动脉的终末支,与视网膜中央动脉相通,若视网膜中央动脉栓塞,会引起视网膜缺血,如果缺血90min,就会出现不可逆坏死而导致失明。眉间、鼻部、额部、鼻唇沟、眼周、眶颧区等血管较多,是面部注射的主要危险区域。
注射透明质酸类制剂发生血管栓塞的原因主要包括:
1、在单位面积内注射过量的透明质酸类制剂可导致皮肤张力过大,从而引起血液循环障碍,尤其是鼻尖等皮肤张力过大的部位。
2、推注方式不当或者局部血管变异,也会使微量的透明质酸类制剂直接进入血管,从而导致血管栓塞,引起血运障碍。若发生组织坏死,注射后会出现急剧疼痛,随即局部皮肤出现错综的网状青斑及突发性皮肤水疱、血泡或者溃疡。若透明质酸类制剂不慎进入面动脉而流入眼部、颈动脉,不仅可导致视网膜动脉或者脑动脉栓塞,而且会发生失明或者中风。注射透明质酸类制剂后发生皮肤组织坏死的原因部分是因为注入血管内造成皮肤血供障碍,但大部分原因是因为注射后造成局部血管的功能性障碍导致微循环损害,以及毛细血管动脉痉挛,从而引起局部血管血供丧失而发生局部皮肤坏死。
可见,及早发现皮肤血供障碍并进行积极治疗,尽早恢复血供长为关键,因为间隔时间越短预后效果越好。
严重疼痛、皮肤苍白及回血时间延长是血供障碍的早期表现,注射医师应在注射后进行严密观察。使用透明质酸类制剂酶、局部热敷,以及使用激素药物和高压氧等有利于组织恢复灌注和氧供。
透明质酸酶是透明质酸的专一性水解酶,是这类填充剂的唯一特异性药物。其可以降解透明质酸,增加细胞膜的通透性,增强填充剂在细胞内的扩散作用,使吸收速度增加。

另外,透明质酸酶还可以使局部末梢的小动脉舒张,起到减少血管紧张素的作用,解除毛细血管动脉的痉挛,从而缓解局部皮肤坏死。当发生皮肤局部坏死时,应立即注射透明质酸酶。
若1h内坏死部位无改善,可混合利多卡因帮助血管舒张,并根据酶类的半衰期和血管栓塞的缓解情况再次注射透明质酸酶,通常可重复注射3、4次。对于已经发生局部组织坏死的溃疡者,应采取创面换药、预防感染、抑制炎症等措施治疗。对于失明的患者应立即邀请眼科医师协助诊治,避免发生不可逆损伤。因此,注射医师应详细了解解剖知识,在合适的层次缓慢少量注射,以避免严重并发症的发生。
11、展望
透明质酸类制剂作为一种安全有效、不良反应少的填充剂已被广泛应用。目前多用于治疗各种动力型皱纹或者组织凹陷。但注射透明质酸类制剂后各种并发症也是不容忽视的。由于透明质酸类制剂应用于临床上的时间较短(2003年12月被美国FDA批准用于临床),因此,对于并发症的研究还需要更多的病例来积累,特别是在血管栓塞等严重并发症方面。随着对透明质酸类制剂研究的不断深入,其在整形美容方面的应用将会更加安全、准确和广泛,同时,也会有更多的填充产品不断地应用于临床中。综上所述,透明质酸类制剂在医学美容界的应用将会有一个更广阔的前景。
