-
做了光子嫩肤后 感觉我整个人的气色都好多了我的皮肤比较敏感,每次一换季的时候就会出现各种各样的皮肤问题,入秋后也是这样,皮肤粗糙,又长痘痘,身边的朋友都说我的气色看起来不是很好,尝试了很多护肤方法都没有,然后便决定尝试医美手段,找了家医院做光子嫩肤,做完后感觉气色好了很多。
2022-09-05 -
双眼皮术后 再也不用贴双眼皮贴了双眼皮术后 再也不用贴双眼皮贴了,因为对自己的眼睛不满意,选择了双眼皮手术。这是我手术恢复后的感想,大家可以看看。
2022-09-02 -
光子嫩肤日记 肤如凝脂吹弹可破肌肤不好就会拉低整体的形象,想要肌肤水嫩光滑,医美光子嫩肤可以做到,提升魅力。
2022-08-31 -
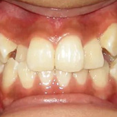
种植的牙齿真结实 感觉和自身的牙齿差别不大牙齿少了一颗真的很不方便,而且还不美观,吃东西的时候特别难受,为了修复失去的牙齿,我决定去医院做种植牙,种植牙虽说很贵,但确实要比烤瓷牙好得多,做种植牙的过程是漫长的,从开始到结束,整整搞了快半年,不过种植成功后,感觉等待都是值得的。
2022-08-29 -
光子嫩肤后期一两个月的时间皮肤已恢复肤如凝脂,吹弹可破,谁不想拥有理想中的好肌肤,但由于多种因素的影响,各种皮肤瑕疵会不断困扰着我们,很多人会选择通过光子嫩肤来改善。
2022-08-28 -
双眼皮日记 一个月后眼睛大变样双眼皮日记,做完后一个月眼睛又大又亮,看着就非常动人,做完后感觉人也变得自信了很多。
2022-08-27
-
做阴毛种植术的真实效果图近几年随着人们思想的开放,阴毛种植术也慢慢被人们接受,很多阴毛稀少的人会选择阴毛种植术来进行改善。在外企工作的郭小姐也是这个队伍中的一员。通过阴毛种植术重新种出自然真实的阴毛。
-
有图有真相:做完乳房再造术前后的对比照片大曝光乳房再造是一种有效的解决乳房缺损的方法,其效果是非常好的,不信您可以来看看下面曾女士乳房再造前后的对比照片就知道了。
-
有图有真相:做完副乳切除术前后的对比照片大曝光夏天爱美者很喜欢穿吊带衫、小背心,但有些爱美者腋下难看的两团鼓起的“赘肉”让很多爱美女性尴尬不已。通过副乳切除手术能够有个好的效果,不信您可以来看看下面王女士副乳切除术前后的对比照片就知道了。
-
厚唇变薄术前后对比图厚唇变薄术是如今很热门的一个整形项目了,手术不仅能帮助人们改变厚唇的影响,还能让人变得更漂亮。而且厚唇变薄术前会进行个性话设计,所以手术后的效果比较符合求美者自身。
