-
肉条感双眼皮女孩的谏告 一定要找一个正规的医院来进行手术肉条感双眼皮女孩的谏告 一定要找一个正规的医院来进行手术,审美观在变,想割一个归属于自个的双眼皮儿的人愈来愈多。
2021-10-09 -
激光祛痘日记 迅速白皙光滑美肌很多人都有挤痘痘的习惯,如果处理不好就会留下痘印、痘痘坑,这导致皮肤变得坑坑洼洼的,十分影响颜色值气质。
2021-09-30 -
双眼皮不仅改变了眼睛的美观 也让我变得勇敢双眼皮不仅改变了眼睛的美观 也让我变得勇敢,从决定做双眼皮手术到现在,我很庆幸自己当初的选择。走出了自己勇敢的那一步......
2021-09-29 -
植发拯救的不光是我的发际线 还有自信为什么很多人对植发表示抗拒?其实很多人对植发的认知还停留在以前,现在的植发技术已经非常先进了,只要选择正规的植发机构,一般都是可以植发成功的,植发技术拯救的不光是人们的发际线,还有人们的自信。
2021-09-28 -
磨骨整形日记 想不到还能变得这么漂亮磨骨整形日记,想不到还能变得这么漂亮。我的脸一直是那种胖脸。事实上,我有时觉得它挺可爱的,但为了让自己成熟,我不得不做磨骨手术。磨骨手术后,我感觉像变了一个人。没想到有生之年能变得这么漂亮。我觉得自己成熟了,不再是那种婴儿肥了。
2021-09-28 -
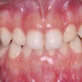
长达1年的地包天矫正治疗后 牙齿终于恢复正常了地包天对人的影响还真是不小,除了外观上会影响美观以外,甚至还可能会造成心理障碍,之前完全没有意识到地包天的危害,从而忽略了女儿地包天的情况,意识到问题后抽空带女儿到口腔医院进行矫正,经过长达1年的矫正后,女儿的牙齿已经恢复到正常人的形状。
2021-09-23
-
做阴毛种植术的真实效果图近几年随着人们思想的开放,阴毛种植术也慢慢被人们接受,很多阴毛稀少的人会选择阴毛种植术来进行改善。在外企工作的郭小姐也是这个队伍中的一员。通过阴毛种植术重新种出自然真实的阴毛。
-
有图有真相:做完乳房再造术前后的对比照片大曝光乳房再造是一种有效的解决乳房缺损的方法,其效果是非常好的,不信您可以来看看下面曾女士乳房再造前后的对比照片就知道了。
-
有图有真相:做完副乳切除术前后的对比照片大曝光夏天爱美者很喜欢穿吊带衫、小背心,但有些爱美者腋下难看的两团鼓起的“赘肉”让很多爱美女性尴尬不已。通过副乳切除手术能够有个好的效果,不信您可以来看看下面王女士副乳切除术前后的对比照片就知道了。
-
厚唇变薄术前后对比图厚唇变薄术是如今很热门的一个整形项目了,手术不仅能帮助人们改变厚唇的影响,还能让人变得更漂亮。而且厚唇变薄术前会进行个性话设计,所以手术后的效果比较符合求美者自身。
